Back to MBBS B12 Student Portal


MBBS Batch 12 Histology MicroPhoto Archive

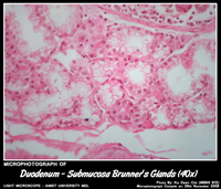
DUODENUM

Histology of Duodenum

  • Numerous finger like Villi, lining epithelium is columnar with few goblet cells.
  • Brunner’s glands in the submucosa.

Click to enlarge


We Are Fueled By Google Ads.